Elevate Your Smile. Empower Your Life.

Dr. Patel

Meet  Dr. Patel

ORTHODONTIST AND DENTOFACIAL ORTHOPEDIST

  • Dedicated to building confidence and helping patients grow into their best selves.
  • Graduate of The University of Texas at Austin and the UT School of Dentistry at Houston
  • Has advanced orthodontic training from NYU Langone.
  • With roots in the DFW community, she blends precision, warmth, and a commitment to patient-centered care
  • Enjoys travel, meditation, and connecting with others
  • Ensuring every patient leaves not just with a great smile, but with confidence that lasts a lifetime.
privately-owned-icon

Privately
Owned

five-star-service-icon

Five-Star
Service

top-notch-team-icon

Top-Notch
Team

community-focused-icon

Community
Focused

free-initial-consult-icon

Free Initial
Consult

Meet  the Team

Abby Holschuh

Abby Holschuh

Practice Manager
  • 10 years of experience in the dental field
  • Strong passion for helping others
  • Love experimenting with new recipes and enjoying the company of my black lab, Luna
Anna Cupps

Anna Cupps

Treatment Coordinator
  • Born and raised in Southern California
  • Active part of the dental field for over 25 years
  • Make patients feel at ease by building confidence
  • Interested in health and wellness, and loves to cook
  • Loves to be with family and friends which includes her 5 dogs
Claudia Navarro

Claudia Navarro

Dental Assistant
  • Born in Bogotá, Colombia, where she worked for 20 years as a Dentist and Orthodontist.
  • Moved to the U.S. with her daughter, Catalina.
  • 11 years as Orthodontic Dental Assistant with different practices in South Florida and Michigan
  • Has three cats Gea, Zeus, and Thor
Hannah Jordan

Hannah Jordan

Dental Assistant
  • Working in the dental field since 2017, and Orthodontics is her passion.
  • Loves all things nature and animals, enjoys traveling, and spending time outdoors exploring new places
  • Enjoys hanging out with friends and family and spending quality time with her cat, Nadja

Community

We lead with purpose and gratitude and are constantly learning to provide the best patient care.

share-a-smile-icon

Share-a-Smile
Referral Program

up-club-icon

7&Up
Club!

community-involvement-icon

Community
Involvement

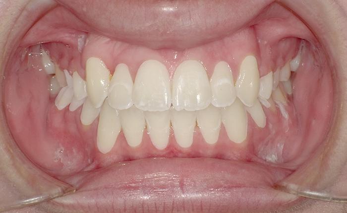
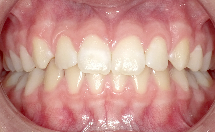
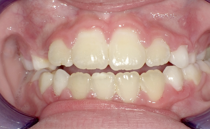
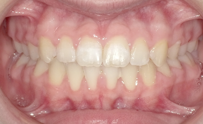
Before &  After

What People Say  About Us

Check Out  Our Social Media

A confident smile has no age limit. 😎
Aligners, braces, retainers, or whitening 😄 we’ll help you find the right fit for your lifestyle.📲

Now welcoming patients in Bartonville and nearby areas!

#GiaOrthodontics #Orthodontics #BartonvilleTX #ClearAligners
Crowded teeth make brushing harder 🪥
Tight spaces make flossing harder 🧵

Orthodontics helps fix that ✨
but daily brushing & flossing keep your smile healthy 😁

Teamwork matters 🤝
At GIA Orthodontics, great smiles start with great care.

We hold ourselves to a higher standard 🤝 combining precision, advanced techniques, and truly personalized treatment for every patient we see. Because no two smiles are the same, and your care shouldn’t be either.

Thoughtful planning. Precise treatment. Results designed just for you. 🙂‍↔️

#GiaOrthodontics #Bartonville #Orthodontist
Your smile evolves with you. 🦷✨

As we grow, our jaws develop and teeth shift — and sometimes they need a little guidance. Orthodontics isn’t just about straight teeth, it’s about helping your smile grow in the right direction as everything changes.

Because when your smile grows the right way, everything else falls into place.

#GiaOrthodontics #Orthodontist #Bartonville
Spring is all about fresh starts. 🌿

It’s the perfect season to invest in yourself, and that includes your smile! A little progress now can lead to a confident smile you’ll love all year long.

Ready for a fresh start? 🌸

#GiaOrthodontics #Bartonville
Don’t rely on luck for a great smile. 🍀

This St. Patrick’s Day, remember that confident smiles aren’t found at the end of a rainbow 🤝 they’re created with the right care and team!

If a straighter, healthier smile is on your wish list, we’re here to make it happen.

Happy St. Patrick’s Day from GIA Orthodontics. 💚
😌 Modern tools, timeless confidence.
Orthodontics isn’t just about straight teeth😁it’s about a smile that makes you feel unstoppable. 💖

From subtle aligners to innovative braces, we help you get the results you’ve always wanted🌟comfortably, confidently, and with a little fun along the way.

Your smile. Your confidence. Your moment to shine. 🙌

#ModernOrthodontics #ConfidentSmile #GiaOrthodontics #SmileWithConfidence #BartonvilleTX #ClearAligners #Braces #Orthodontics
Straightening your teeth doesn’t have to mean braces 🤯 with clear aligners, you can straighten your smile comfortably, discreetly, and on your schedule. 😁 Think of it as orthodontics designed for your life! 😎

#GiaOrthodontics #BartonvilleTX #ClearAligners #Smile #Confidence #Custommade
Roses are red,
Smiles steal the show,
Loving your smile
Is the best way to glow.

This Valentine’s Day, fall in love with the progress you’re making 🤩 your smile, your pace, your journey. 💕

#GiaOrthodontics #BartonvilleTX #ClearAligners #Smile #ValentinesDay #Braces #Orthodontist
🦷 Fun Fact: A straight smile isn’t just about looks — it’s about health too! 😁

Properly aligned teeth make brushing and flossing easier, reduce wear on your teeth, and support overall oral health. At Gia Orthodontics in Bartonville, TX, we help you achieve a smile that’s healthy and confident. ✨

#GiaOrthodontics #BartonvilleTX #Smile #Braces #ClearAligners
Your smile is personal 😍 and so is our care.
We take the time to understand your needs, your comfort, and your goals. Our professional team is here to guide you through every step of your orthodontic journey with care, attention, and a personal touch. 🦷✨

#GiaOrthodontics #PersonalizedCare #Orthodontics #Braces #ClearAligners #Smile
🦷 Fun Fact: Your smile is one-of-a-kind… and so is your orthodontic treatment! 😁
At Gia Orthodontics in Bartonville, TX, every plan is designed around YOU — your teeth, your goals, and your lifestyle. Because your perfect smile deserves a personalized touch! ✨

#GiaOrthodontics #Orthodontics #BartonvilleTX #Smile #Braces #ClearAligners
🎯 Make 2026 the year of your confident smile!

Set a goal for your oral health and take the first step toward the smile you’ve always wanted. Orthodontic treatment at Gia Orthodontics in Bartonville, TX can help you achieve a healthier, straighter, and more confident smile this year. 😁✨

#GiaOrthodontics #BartonvilleTX #Braces #ClearAligners #Smile
This season reminds us how lucky we are to be part of your smile journey. Thank you for choosing us, supporting us, and letting us brighten your day—one grin at a time. Wishing you all a warm and joyful Thanksgiving 🤎🧡

#giaorthodontics #elevateyoursmileempoweryourlife #braces #invisalign #thanksgivingday #thanksgiving2025 #argyletx #argyle #lantana #lantanatx #bartonvilletx #northlake #northlaketx #flowermound #dentoncounty #clearaligners
⏰ Don’t let your FSA/HSA funds disappear!

Use them toward your new smile with Gia Orthodontics before they expire.
Your perfect smile is closer than you think! 😁

📞 Call or text today to schedule your visit at 940-584-0512

#GiaSmiles #FSA #HSA #SmileGoals #OrthoLife #NewSmile #ClearAligners #Braces
🍬✨ Candy Corn Champion Alert! ✨🍬

We had so much fun with our Candy Corn Guessing Contest — and the results are in! 🎉

🎃 Congratulations to @anaolveramyers!

Thank you to everyone who stopped by to take a guess and join in the fall fun! Your sweet spirit made this contest even more festive. 🍁🧡

Stay tuned for more giveaways, smiles, and community fun from GIA Orthodontics! 😁

#CandyCornContest #FallFun #GiveawayWinner #SweetSmiles #GIAOrthodontics #GIASmiles #BracesAndSmiles #AlignYourSmile #ClearAligners